Breaking News
  • Editor's Top Picked Article Vol 20(1), Jan 2025 issue
  • Important Announcement : APC
  • Editor's Top Picked Article Vol 18(2), 2023
  • Editor's recommended article Vol 18(1), 2023
Home

Main navigation

  • Home
  • About
    • About Us
    • Aim and scope
    • Editorial Board
    • Editorial Policies and Ethics
    • Fee policy
    • Browse Issues
  • Issues

    CURRENT ISSUE

    Vol. 21 No. 3 (suppl) : 2026
    BRIOWSE ISSUES

    Latest Issues

    • 10th International Virtual Medical Research Symposium
      Issue 02 Mar, 2026
      Vol. 21 No. 3 (suppl) : 2026
    • Medicine & Health
      Issue 29 Jan, 2026
      Vol. 21 No. 1 : 2026
    • 17TH Medical Undergraduates' Annual Scientific Research Meeting
      Issue 08 Jan, 2026
      Vol. 21 No. 2 (suppl) : 2026
    • World Ethics Day Symposium
      Issue 07 Jan, 2026
      Vol. 21 No. 1 (suppl) : 2026
    • 2nd Artificial Intelligence & Medical Education
      Issue 31 Dec, 2025
      Vol. 20 No. 11 (suppl) : 2025
    more issues

    FEATURED

    medhealth
    20 Jan, 2025

    Vol. 20 No. 1 : 2025

  • For Authors
    • Guidelines for Authors
    • Keyword guideline (MeSH)
    • Submit Manuscript
  • For reviewer
    • Peer Review Process
  • Contact

Menu second

  • About
  • Issues
  • Gallery

Breadcrumb

  1. Home  / 
  2. Case Report
Photo of case 1 showed right eye redness, proptosis and temporal scalp swelling
Case Report
21 Jul, 2025

Confronting Orbital Metastasis of Renal Cell Carcinoma – Retrospective Case Series

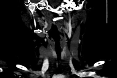
CTA showing tortuosity of right extracranial ICA at level C2 (white arrow)
Case Report
21 Jul, 2025

Unilateral Pulsatile Tinnitus in Young Female Adults: A Report of Two Cases

Case Report
27 Jan, 2025

Death due to Liquified Petroleum Gas Inhalation Augmented with Plastic Bag Suffocation

Case Report
27 Jan, 2025

Temporal Ependymoma: A Case Study Emphasising Diagnostic Dilemmas and Therapeutic Challenges

Case Report
27 Jan, 2025

Early Recognition and Intervention of De Winter Syndrome: A Case Report

Case Report
27 Jan, 2025

Defying All Odds: Successful Thrombolysis in a Nonagenarian with Posterior Circulation Infarct

Case Report
27 Jan, 2025

Case Series: A 5-year-experience ofTranslabyrinthine Approach in Managing Cerebellopontine Angle Tumour in Ministry of Health Malaysia

Pagination

  • First page « First
  • Previous page ‹‹
  • Page 1
  • Page 2
  • Current page 3
  • Page 4
  • Page 5
  • Page 6
  • Page 7
  • Page 8
  • Page 9
  • …
  • Next page ››
  • Last page Last »

Recent Articles

  • 01
    10th International Virtual Medical Research Symposium
  • 02
    Iatrogenic Tracheal Injury During Hemithyroidectomy: A Case Report
  • 03
    Fatal Wilkie’s Syndrome Complicated by Aspiration Pneumonia in an Adolescent with Autism: A Case Report
  • 04
    Recurrent Kimura Disease of the Submandibular Region After Prolonged Remission to Radiotherapy and Its Challenges
  • 05
    Retropharyngeal Abscess with a Missed Migrating Foreign Body: A Case Report
  • 06
    Gartner’s Duct Cyst Impersonating Prolapse: A Case Report

Contact info

Secretariat of Research & Innovation, Faculty of Medicine Universiti Kebangsaan Malaysia
Level 6, Preclinical Building,
Jalan Yaacob Latif,
Bandar Tun Razak,
56000 Cheras
  • Kuala Lumpur, Malaysia
  • 03-91458798
  • medhealthukm@gmail.com

Explore

  • About Us
  • Advertise
  • Terms & Conditions
  • Privacy Policy
  • Careers
  • News

Guidelines

  • Author guidelines
  • Keyword guideline (MeSH)
  • Reviewer Guidelines

Newsletter subscription

Subscribe to our newsletters. Never miss an issue or our latest news.
The subscriber's email address.
Manage existing

User login

"Start your submission journey and see your research make a greater impact."

© Copyright Medicine and Health UKM 2025. All Rights Reserved.