Breaking News
  • Editor's Top Picked Article Vol 20(1), Jan 2025 issue
  • Important Announcement : APC
  • Editor's Top Picked Article Vol 18(2), 2023
  • Editor's recommended article Vol 18(1), 2023
Home

Main navigation

  • Home
  • About
    • About Us
    • Aim and scope
    • Editorial Board
    • Editorial Policies and Ethics
    • Fee policy
    • Browse Issues
  • Issues

    CURRENT ISSUE

    Vol. 21 No. 3 (suppl) : 2026
    BRIOWSE ISSUES

    Latest Issues

    • 10th International Virtual Medical Research Symposium
      Issue 02 Mar, 2026
      Vol. 21 No. 3 (suppl) : 2026
    • Medicine & Health
      Issue 29 Jan, 2026
      Vol. 21 No. 1 : 2026
    • 17TH Medical Undergraduates' Annual Scientific Research Meeting
      Issue 08 Jan, 2026
      Vol. 21 No. 2 (suppl) : 2026
    • World Ethics Day Symposium
      Issue 07 Jan, 2026
      Vol. 21 No. 1 (suppl) : 2026
    • 2nd Artificial Intelligence & Medical Education
      Issue 31 Dec, 2025
      Vol. 20 No. 11 (suppl) : 2025
    more issues

    FEATURED

    AIMEC
    30 Dec, 2024

    Vol. 19 No. 9 (suppl) : 2024

  • For Authors
    • Guidelines for Authors
    • Keyword guideline (MeSH)
    • Submit Manuscript
  • For reviewer
    • Peer Review Process
  • Contact

Menu second

  • About
  • Issues
  • Gallery

Breadcrumb

  1. Home  / 
  2. Case Report
FIGURE 1: Neck re-exploration revealing intact suture at the site of primary repair
Case Report
29 Jan, 2026

Iatrogenic Tracheal Injury During Hemithyroidectomy: A Case Report

FIGURE 1: (A) Chest radiograph revealed an elevated left hemidiaphragm with absent of gastric bubble; (B) Abdominal radiograph revealed a paucity of small bowel gases that suggest proximal intestinal obstruction; (C) Chest radiograph taken post-intubation revealed bilateral alveolar opacities after the patient aspirated
Case Report
29 Jan, 2026

Fatal Wilkie’s Syndrome Complicated by Aspiration Pneumonia in an Adolescent with Autism: A Case Report

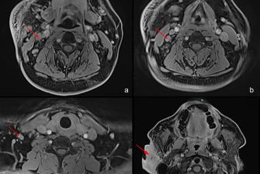
FIGURE 2: MRI images showed (a-c) enlarged and enhancing lymph nodes at levels 2, 3, and 4 of the right cervical neck regions; (d) lobulated soft tissue mass measuring 2.6 cm x 4.9 cm x 6.3 cm in the right pre- and postauricular space
Case Report
29 Jan, 2026

Recurrent Kimura Disease of the Submandibular Region After Prolonged Remission to Radiotherapy and Its Challenges

Initial computed tomograpgy neck showed extensive multiloculated gas containing collection seen at retropharyngeal region (red arrow) from the level of oropharynx in sagittal section
Case Report
29 Jan, 2026

Retropharyngeal Abscess with a Missed Migrating Foreign Body: A Case Report

FIGURE 1: (A) A left periurethral mass extending from the left periurethral space to suburethral region measuring 3 cm x 5 cm; (B) Midsagittal view of the pelvic floor showing a cystic mass (*) dorsal to the urethra (U) measuring 2.17 cm x 2.78 cm on translabial perineal ultrasound (TPUS); (C) TPUS view demonstrating a periurethral mass dorsal to the urethra measuring 4.22 cm (width) x 1.99 cm (vertical dimension). (SP: Symphysis pubis; Ut: Uterus; CX: Cervix)
Case Report
29 Jan, 2026

Gartner’s Duct Cyst Impersonating Prolapse: A Case Report

FIGURE 1: (A) Non-contrast CT brain demonstrated acute focal hemorrhage at the right occipital lobe withperihemorrhagic hypodensity extending to the right parieto-occipital region; (B) Subsequent CT venography in axial plane revealed thin linear isodensity within the right transverse sinus; (C) CT venography in coronal plane confirmed the filling defect within the right transverse sinus, consistent with thrombus
Case Report
29 Jan, 2026

Homonymous Hemianopia Associated with COVID-19 Vaccination

FIGURE 1: Colored fundus photograph of the right eye showed a BRAO involving the inferotemporal arcade (inferior arrow) with surrounding pallid retinal edema associated with an area of focal retinitis (superior arrow)
Case Report
29 Jan, 2026

Branch Retinal Artery Occlusion as the First Manifestation of Bartonella henselae Infection

Pagination

  • Current page 1
  • Page 2
  • Page 3
  • Page 4
  • Page 5
  • Page 6
  • Page 7
  • Page 8
  • Page 9
  • …
  • Next page ››
  • Last page Last »

Recent Articles

  • 01
    10th International Virtual Medical Research Symposium
  • 02
    Iatrogenic Tracheal Injury During Hemithyroidectomy: A Case Report
  • 03
    Fatal Wilkie’s Syndrome Complicated by Aspiration Pneumonia in an Adolescent with Autism: A Case Report
  • 04
    Recurrent Kimura Disease of the Submandibular Region After Prolonged Remission to Radiotherapy and Its Challenges
  • 05
    Retropharyngeal Abscess with a Missed Migrating Foreign Body: A Case Report
  • 06
    Gartner’s Duct Cyst Impersonating Prolapse: A Case Report

Contact info

Secretariat of Research & Innovation, Faculty of Medicine Universiti Kebangsaan Malaysia
Level 6, Preclinical Building,
Jalan Yaacob Latif,
Bandar Tun Razak,
56000 Cheras
  • Kuala Lumpur, Malaysia
  • 03-91458798
  • medhealthukm@gmail.com

Explore

  • About Us
  • Advertise
  • Terms & Conditions
  • Privacy Policy
  • Careers
  • News

Guidelines

  • Author guidelines
  • Keyword guideline (MeSH)
  • Reviewer Guidelines

Newsletter subscription

Subscribe to our newsletters. Never miss an issue or our latest news.
The subscriber's email address.
Manage existing

User login

"Start your submission journey and see your research make a greater impact."

© Copyright Medicine and Health UKM 2025. All Rights Reserved.