Share |

diabetes mellitus

MetS & Treatment Outcomes among BC Patients
Figure 1: Patients’ disposition (Abbreviations: MIBC=muscle-invasive bladder cancer; NMIBC=non-muscle invasive bladder cancer; UMMC=University Malaya Medical Centre)
Neuroticism, Depression and QoL in DM
Public KAP towards Diabetes Mellitus
Personality and QOL among Elderly with Diabetes
Skipping Meals among Patients with Type 2 DM
The HRQoL of T2DM Vietnamese
Factor Analysis of the Malay-version GAD-7
Figure 1: The final modified one-factor model for the Malay-version GAD-7. Note: standardized estimates based on confirmatory factor analysis (CFA). All factor loadings were statistically significant (p < 0.001).
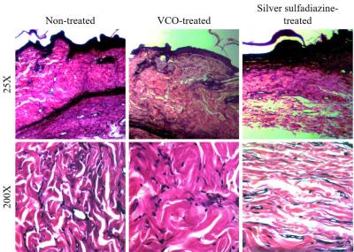
Virgin Coconut Oil and Diabetic Wound Healing
Figure 1: Skin tissue at day 7 following wound creation (Verhoeff eosin staining).
-
-