• Hello Visitor!
  • Log In or Register
  • Home
  • My profile
Medicine & Health
  • Home
  • About
    • About M&H
    • Aims and Scope
    • Editorial Board
    • Reviewers
  • Issues
    • Current Issue
    • Browse Archive
    • Search
  • Article In Press
  • For Authors
    • Instruction To Authors
    • Online Submission
  • For Reviewers
    • Instruction To Reviewers
  • Contact
  • Reviewer Agreement Form
  • Search issue

MEDICINE & HEALTH

About

  • Aims and Scope
  • Editorial Policies and Guidelines
  • Editorial Board

Issues

  • Current Issue
  • Browse Archive

For Authors

  • Guidelines for Authors
  • Submit manuscript
  • Keyword guideline (MeSH)
  • Guidelines for online submission

For Reviewers

  • Review Comments Form
  • Reviewer Agreement Form
  • Guide for Reviewer

Related Links

  • Universiti Kebangsaan Malaysia
  • UKM Medical Centre
  • Centre for Research and Instrumentation Management
  • Centre for Graduate Management
Home
Share |

kortikosteroid

Factors Associated with Asthma Exacerbation Revisit
Article | May 19, 2016 - 11:44am | By NIK MUHAMAD NA, KWONG LJ
Related Terms:
acute asthma exacerbation
corticosteroid
emergency department
Original article
revisit
Jabatan Kecemasan
kehadiran semula
kortikosteroid
serangan asma akut
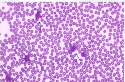
Eosinophilic gastroenteritis in Hypereosinophilic Syndrome
Article | July 11, 2014 - 9:28am | By NARISA SS, SHANTI P, JEEVINESH NA, SAKTHISWARY R
Figure 1 : Full blood picture showed marked eosinophilia (arrows)
Related Terms:
corticosteroids
endoscopic biopsies
hypereosinophilic syndrome
oeosinophilic gastroenteritis
Case report
biopsi endoskopik
kortikosteroid
radang sistem gastrousus
sindrom hipereosinofilik
  • Home
  • Current Issues
  • Archive
  • For Authors
Get the main site RSS feed